Intracoronary Thrombolytic Therapy in a Patient with ST Elevation Myocardial Infarction in the Setting of Carbon Monoxide Poisoning
Author: Iliana Hurtado Rendón, MD, Additional authors*
Case Relevance
• Carbon Monoxide (CO) is a colorless and odorless chemical asphyxiant that causes tissue hypoxia resulting in manifestations in multiple major organs including the heart.
• The mechanism of myocardial injury involves demand ischemia with or without underlying coronary atherosclerosis. Fibrinolytic pathway activation due to endothelial damage from oxygen-free radicals may also contribute.
• We report a case of ST elevation myocardial infarction due to a left anterior descending artery thrombus as a rare complication from acute CO poisoning and review all patients reported in the literature in the 21st century.
Presenting History
• History: 32 years old male summoned EMS for complaints of chest discomfort, headache, and nausea. Chest discomfort was described as a constant, anterior chest ache without radiation and associated with nausea. Duration was 5 hours.
• It was discovered that the patient was heating his apartment by leaving the door of his gas oven open.
• Past Medical History: Hypertension
• Physical Exam. VS: BP = 143/79 mmHg; P = 92 beats/min.; R =22/min.
Patient was not in acute distress on non-rebreather mask and mentation was normal. Lungs were clear to auscultation. Cardiac examination revealed normal rate and rhythm without murmurs, rubs, or gallops. Bedside transthoracic echocardiogram was not significant for pericardial effusion or wall motion abnormality.
• Lab. Carboxyhemoglobin: 13.8% Troponin I: 0.126 ng/mL CKMB: 115ng/mL. CKMB Index: 4.5. Electrolytes: within normal limits
• Electrocardiogram (EKG): Normal sinus rhythm. Prolonged PR interval. Diffuse ST elevations. [Figure 1]
Hospital Course
• Patient was admitted to telemetry and remained without further episodes of chest pain. Overnight, Troponin I increased to 10.7ng/mL. CK-MB peaked at 168 ng/mL.
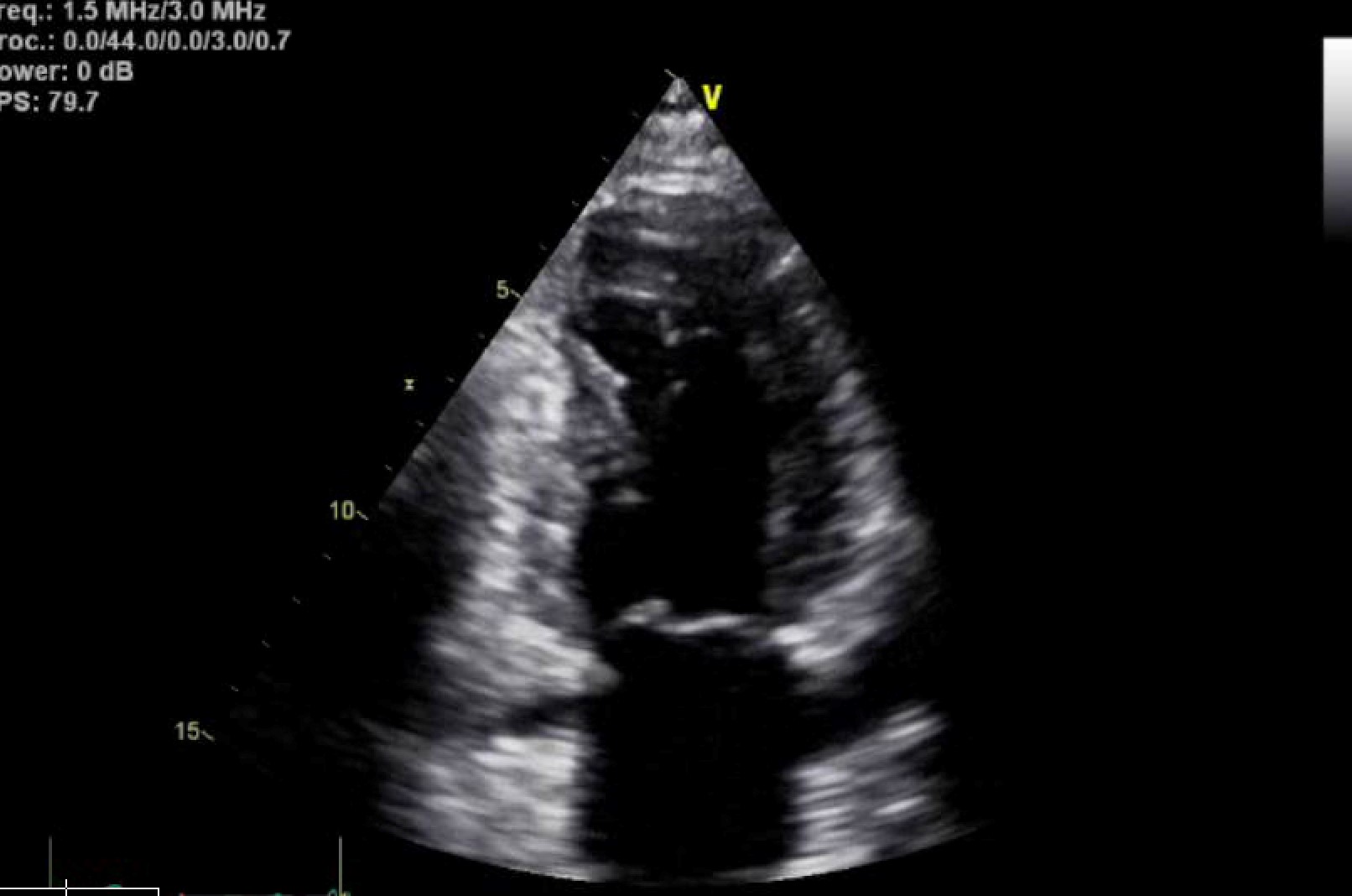
• Imaging: Transthoracic echocardiogram (TTE) was significant for wall motion abnormalities in the apex, apical-inferior, septal, and apical-anterior myocardial walls. Ejection fraction (EF) was estimated to be 55%. [Figure 2, 3]
• Telemetry: Multiple runs of non-sustained ventricular tachycardia- longest of 5 beats.
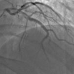
• Cardiac Catheterization: Proximal left anterior descending (LAD) artery thrombus with 70% stenosis and distal LAD occlusion. Patient was treated with unfractionated heparin and glycoprotein 2b/3a inhibitor (Tirofiban). [Figure 4]
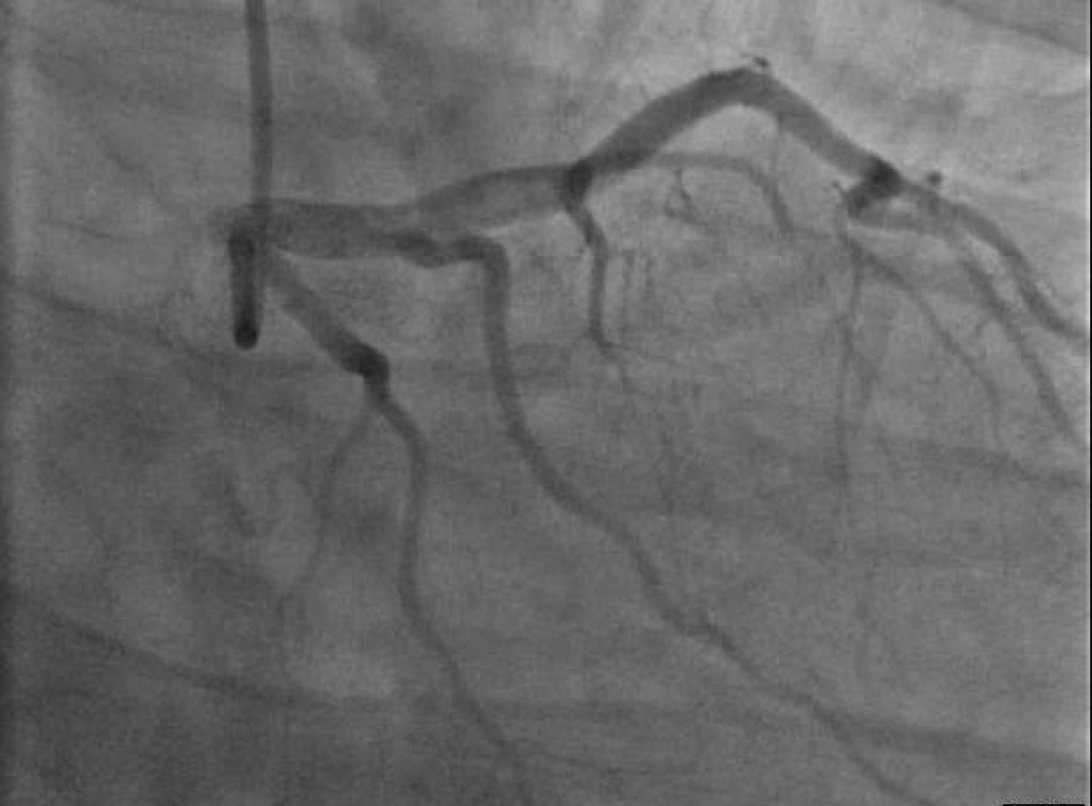
• Second Catheterization: On the following day, residual LAD thrombus was identified with the help of Fractional Flow Reserve procedure. It was treated with a combination of intracoronary thrombolytic (Alteplase) and an aspiration thrombectomy. [Figure 5]
• Hypercoagulability panel did not reveal underlying pathology that may have contributed to thrombus formation.
• Patient was ultimately discharged on oral anticoagulation (Rivaroxaban) for three months.
Results/ Review of Literature
• The patient did not suffer long term complication and was followed up in the outpatient setting.
• Three month repeat TTE revealed improvement in the inferior wall motion abnormality. Apical myocardial akinesis remained. Ejection fraction was normal at 58%.
• Intracoronary thrombus is a rare complication of CO poisoning with only 7 reported cases in the literature.
• Including our patient, 5/8 (62.5%) reported were men; age range 30-70 years old with a mean 48.5 years.
• All patients complained of chest pain, exhibited EKG changes, and were diagnosed at cardiac catheterization.
• 3/8 (37.5%) were treated by balloon angioplasty, 1/8 (12.5%) was not treated due to condition being found on post-mortem autopsy, 1/8 (12.5%) treated with drug-eluting stent placement, 1/8 (12.5%) via hyperbaric chamber, 1/8 (12.5%) with systemic thrombolytic, and 1/8 (12.5%) with combination of intracoronary thrombolytic, aspiration thrombectomy, and systemic anticoagulation. [Figure 7]
• All 8 (100%) were found to have a thrombus in the LAD artery.
• 5/8 (62.5%) had cardiovascular risk factors or previous cardiac events.
• 7/8 (87.5%) of patients survived.
Our case involves the youngest patient and is the first to be treated with a combination of unfractionated heparin, glycoprotein 2b/3a inhibitor, intracoronary thrombolytic, aspiration thrombectomy, and oral anticoagulation.
Conclusions
1. Intracoronary thrombus is a rare complication of CO poisoning.
2. 100% of patients reported presented with chest pain.
3. Patients were evaluated with serial EKG’s, cardiac biomarkers, and a TTE. Coronary angiography should be considered when there is evidence of myocardial injury.
4. The left anterior descending artery is the most common location for thrombus formation.
5. Anti-thrombotic treatment is critical when myocardial infarction is suspected.
References
1. Selcuk O. et al. Very Late Stent Thrombosis in a Patient Presenting with Acute Carbon Monoxide Poisoning. J Emerg Med Case Rep 2017; 8: 37-39.
2. Unlu M et al. Thrombolytic therapy in a patient with inferolateral myocardial infarction after carbon monoxide poisoning. Sage Journals 2015.
3. Marilou CC et al. Intracoronary thrombus formation following carbon monoxide poisoning. J Forensic Sciences 2017;
4. Dziewierz A et al. Primary angioplasty in patient with ST-segment elevation myocardial infarction in the setting of intentional carbon monoxide poisoning. J Emerg Med 2013; 45 (6) 831-834.
5. Soohyun K et al. A case of acute carbon monoxide poisoning resulting in an ST elevation myocardial infarction. Korean Circ J 2012; 42(2) 133-135.
6. Gonullu H et al. ST elevation myocardial infarction due to carbon monoxide poisoning. Eurasian J Med 2011; 43(2): 125-128.
7. Marius-Nunez A. Myocardial infarction with normal coronary arteries after acute exposure to carbon monoxide. Chest 1990; 97(2); 491-494.
8. Satran et al. Cardiovascular manifestations of moderate to severe carbon monoxide poisoning. J Am Coll Cardiology 2005; 45(9); 1513-1516.
9. Gandini C et al. Carbon monoxide cardiotoxicity. J Toxicol Clin Toxicol 2001; 39: 35-44.
*Iliana Hurtado Rendón, MD, Summa Health System, Akron City Hospital, Akron, OH
Ahmad Abdin, MD, Summa Health System, Akron City Hospital, Akron, OH
Yesha Patel, MD, Summa Health System, Akron City Hospital, Akron, OH
William Bauman, MD, FACC, Summa Health System, Akron City Hospital, Akron, OH
Kevin Silver, MD, MBA, FACC, FSCAI, FASNC, Summa Health System, Akron City Hospital, Akron, OH
Program Director: Marc Penn, MD, PhD, FACC
Program Coordinator: Samantha Lingelfelter





