Purulent Pericarditis and Tamponade in the Setting of Acquired Immunodeficiency
Author: Daniel Washko
, DO, Additional authors*
Introduction:
Pericarditis and cardiac tamponade are commonly encountered conditions in clinical cardiology practice. While the vast majority of cases of pericarditis are due to viral, inflammatory, or malignant causes, physicians must be cognizant of rare etiologies that require unique management. We present an unusual case of purulent bacterial pericarditis and tamponade caused by Haemophilus influenzae in a patient with acquired hypogammaglobulinemia from prior rituximab treatment.
Case Presentation:
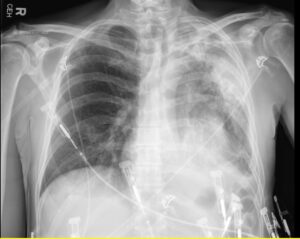
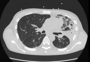
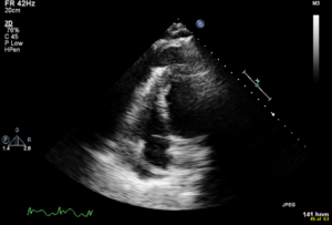
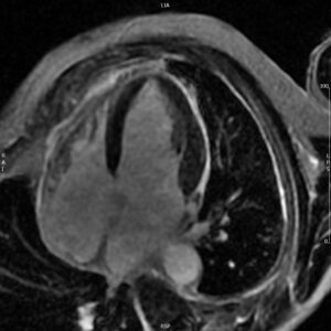
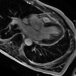
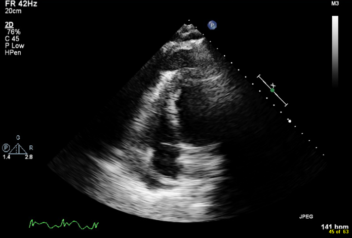
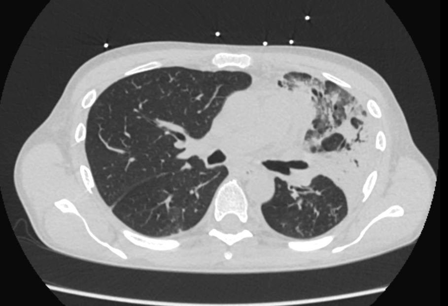
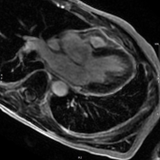
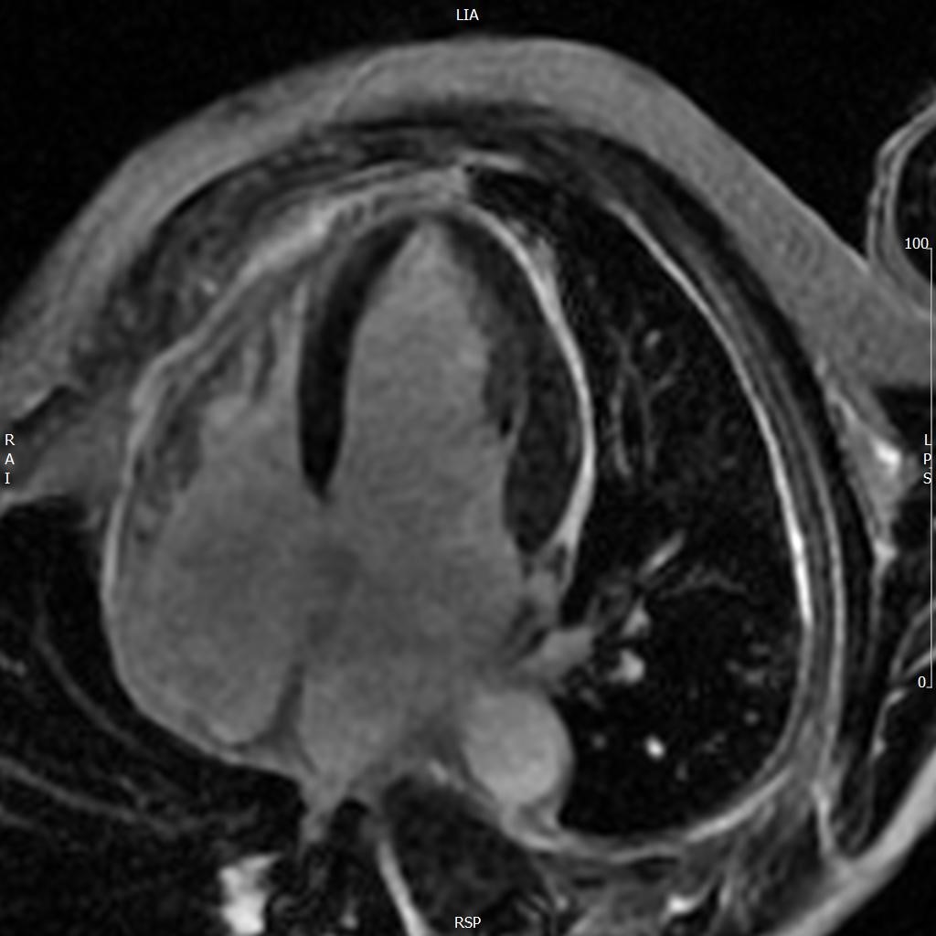
A 52-year old man with a history of diffuse large B cell lymphoma in remission presented with 3 weeks of shortness of breath, cough, fever, and shock. Electrocardiogram revealed sinus tachycardia, diffuse ST segment elevations, PR segment depression, prolonged QTc, and electrical alternans. Bedside echocardiogram was performed, revealing a large circumferential pericardial effusion with tamponade physiology. The patient underwent echo-guided pericardiocentesis with drainage of 400 ml of purulent fluid. Pericardial and blood cultures were positive for Haemophilus influenzae. A CT of the chest was indicative of empyema. Given the patient’s history of rituximab use, autologous stem cell transplant, and profound infection, immunoglobulin levels were drawn and found to be undetectable. The patient received 6 weeks of intravenous antibiotics with IVIG infusions. He was treated with colchicine and aspirin for purulent pericarditis. Two months later, a cardiac MRI was performed, which revealed resolution of the pericardial effusion. No evidence of constrictive pericarditis was noted on MRI, but continued pericardial enhancement was observed. Colchicine was continued for an additional 3 months. The patient made a full recovery at 6 month follow up.
Discussion:
In developed countries, purulent pericarditis is rare, accounting for less than 1% of cases of pericarditis.1 Risk factors for development of bacteria pericarditis include bacteremia, immunocompromised state, and thoracic surgery.2 While gram positive organisms (primarily Staphylococcus aureus and Streptococcus pneumoniae) are the most common organisms causing purulent pericarditis, infection with gram negative organisms such as Haemophilus influenzae remains very rare.3 Only 9 cases of purulent pericarditis secondary to Haemophilus influenzae have been reported in the literature.4 The patient in this case developed septic shock due to an acquired immunodeficiency from treatment with rituximab for lymphoma 7 years prior, resulting in permanent loss in immunoglobulin production by B cells. As in this case, direct extension from pneumonia or empyema are frequent routes of infection into the pericardial space. Pericardiocentesis is indicated if there is a suspicion of bacterial infection as purulent pericarditis carries a 30% mortality rate. Bedside echocardiography played a critical role in the evaluation of pericardial tamponade and prompt treatment with pericardiocentesis, resulting in an excellent patient outcome in this case.
Conclusion:
Early recognition and prompt treatment of purulent bacterial pericarditis is essential in order to improve patient outcomes and avoid the development of constrictive pericarditis.
References:
1) 2015 ESC Guidelines for the diagnosis and management of pericardial diseases: The Task Force for the Diagnosis and Management of Pericardial Diseases of the European Society of Cardiology (ESC)Endorsed by: The European Association for Cardio-Thoracic Surgery (EACTS). Eur Heart J. 2015;36(42):2921.
2) Purulent pericarditis: report of 2 cases and review of the literature. Medicine (Baltimore). 2009;88(1):52.
3) Clinical, microbiologic and therapeutic aspects of purulent pericarditis. Rubin RH, Moellering RC Jr. Am J Med. 1975;59(1):68.
4) Pericarditis Associated with Hemophilus influenza type B pneumonia and bacteremia in two adults. Graham, CHEST, volume 84, Issue 1, 48-50.
*Authors
Daniel Washko, DO, University of Cincinnati Medical Center, Cincinnati, OH
Radha Mehta, MD, University of Cincinnati Medical Center, Cincinnati, OH
Imran Arif, MD, University of Cincinnati Medical Center, Cincinnati, OH
Program Director: David Harris, MD, FACC
Program Coordinator: Eva Meunier








