Transcatheter Treatment of an Obstructed Common Right Pulmonary Vein in Repaired Scimitar Syndrome
Author: Brittney Hills, MD, Additional Authors**
Introduction/Objective:
-
-
-
-
-
- Scimitar syndrome is a rare presentation of partial anomalous pulmonary venous return (PAPVR) where all or some right pulmonary veins empty into the inferior vena cava (IVC)
- 3-6% of patients with PAPVR have Scimitar variant [1]
- Repair includes connection of right sided pulmonary veins (PV) to left atrium (LA) via direct anastomosis or baffle
- Post operative PV obstruction reported 6-18% [2]
-
-
-
-
Case Presentation:
Clinical Background
– 6-year-old with Scimitar syndrome with common right PV return to the IVC
– Surgical repair consisted of anastomosis of the common right PV to the LA
Post Operative Course
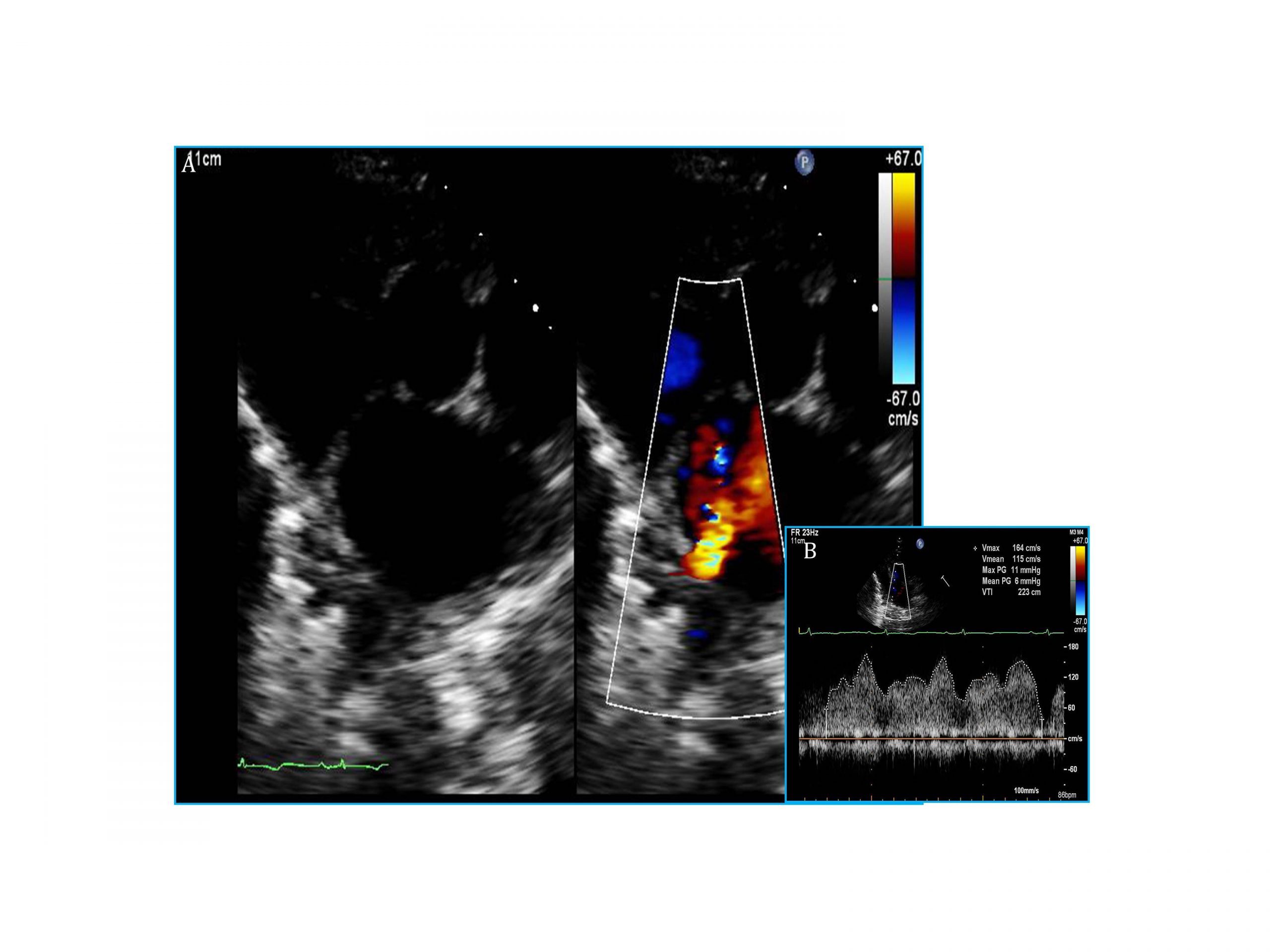
– 14 months post-operatively: transthoracic echocardiogram (TTE) 6 mmHg mean gradient (MG) across anastomosis (Figure 1)
– CT scan showed stenosis at anastomosis site, measuring 1.3 x 1mm (Figure 2)
– Referred to cardiac catheterization lab for intervention
Catheterization
– Lesion accessed via superior transeptal approach with steerable AgilisTM sheath (Abbott, Abbott Park, IL)
– Hemodynamics revealed a baseline 9 mmHg MG across lesion
– Right pulmonary capillary wedge angiogram demonstrated the common PV narrowed to 3 mm at the anastomosis site (Figure 3A)
– Stenosis measured 8mm via balloon sizing with a 12mm x 2cm EverCross balloon (Medtronic, Dublin, Ireland) (Figure 3B)
– A 16 mm Mega LD stent (Medtronic, Dublin, Ireland) was implanted in the right PV on a 12 mm Evercross balloon (Figure 4)
– Residual cath MG 3mmHg; Patient started on antiplatelet therapy
– At one month follow-up: 1mmHg MG by TTE
Discussion:
– First documented pediatric patient with Scimitar syndrome who underwent transcatheter treatment of post-operative PV obstruction
– Superior transeptal location was chosen and steerable sheath was used to facilitate intervention
– Mega LD stent was chosen for short length and ability to further dilate in the future
– Antiplatelet therapy utilized to mitigate risk of thrombus formation
– Patient may require 1-2 additional catheterizations in lieu of reoperation
**Additional Authors
Brittney Hills, MD- Nationwide Children’s Hospital
Arash Salavitabar, MD-Mott Children’s Hospital
Brian Boe, MD-Nationwide Children’s Hospital
Fellowship Director: Daniel Rowland, MD, FACC
Fellowship Coordinator: Jennifer Denny




